
DentalLabSolutions Locator Overdentures are expertly crafted to attach directly to implant locator abutments—providing patients with a stable, removable prosthesis that combines the comfort of a denture with the security of implant support. Designed for both two- and four-implant cases, this solution delivers enhanced retention, better function, and greater patient satisfaction.

Our Acrylic Hybrid restorations are designed for full-arch implant-supported solutions where long-term durability and esthetics matter. Seated on a custom-milled titanium bar or direct-to-MUA abutments, this prosthesis combines the stability of fixed implant support with the lifelike esthetics of high-quality denture acrylic and premium teeth.

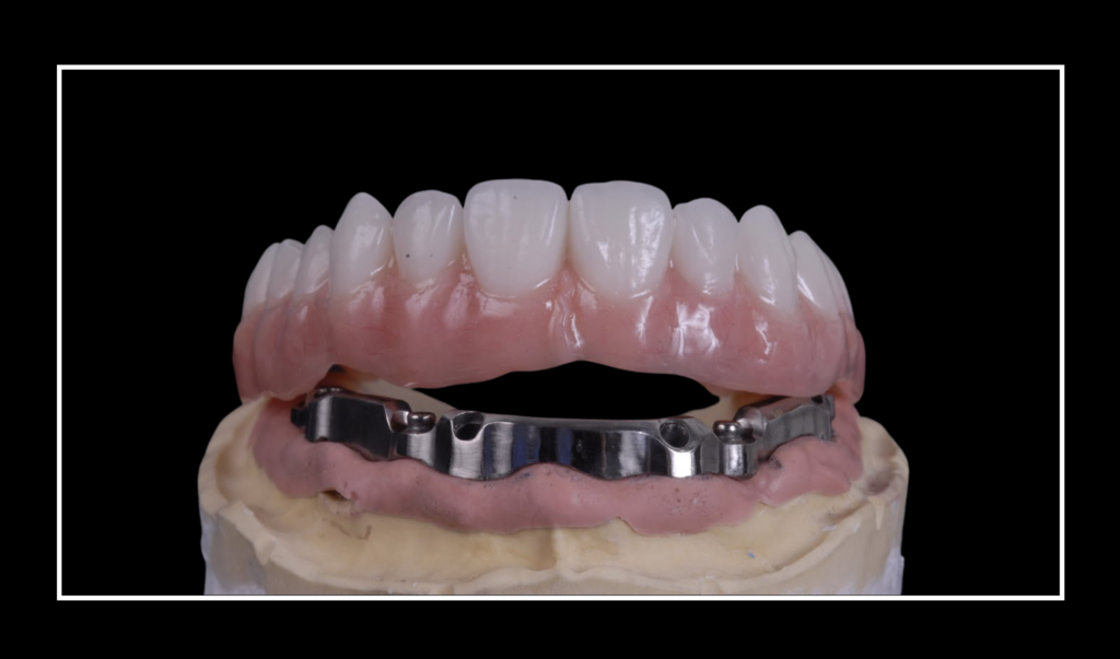
DentalLabSolutions Denture Over Implant Bar with Locator Attachments provides a highly stable and retentive removable solution for fully edentulous patients. This restoration features a custom-milled bar framework seated over implants, with precision-matched locator housings integrated into the denture for easy placement, secure retention, and long-term wearability.